Desgaste dental, afecta cientos de adultos mayores


Un informe de los odontólogos del Hospital de Geriatría y Gerontología, revela que los principales males bucodentales de la tercera edad simbolizan un tridente formado por las caries, las encías sangrantes y el desgaste dental; sin embargo, este último problema es menos conocido.

Según los especialistas, mantener todos los dientes sanos a lo largo de la vida es un “reto social”, ya que la salud de dientes y encías, aunque ha mejorado en los últimos años, todavía es de baja preocupación entre los costarricenses, por lo que 8 de cada 10 personas ha perdido dientes cuando llega a la tercera edad, lo cual afecta negativamente la salud.

La estadística del área de odontología de la CCSS, 4 de cada 10 personas mayores de 65 años tienen enfermedad periodontal activa (sangrado, movilidad dental, sarro en sus dientes) y 4 de cada 10 personas han perdido dientes por enfermedades de las encías.

En contraposición, solo 1 de cada 10 personas tienen su boca en condición cien por ciento higiénica.


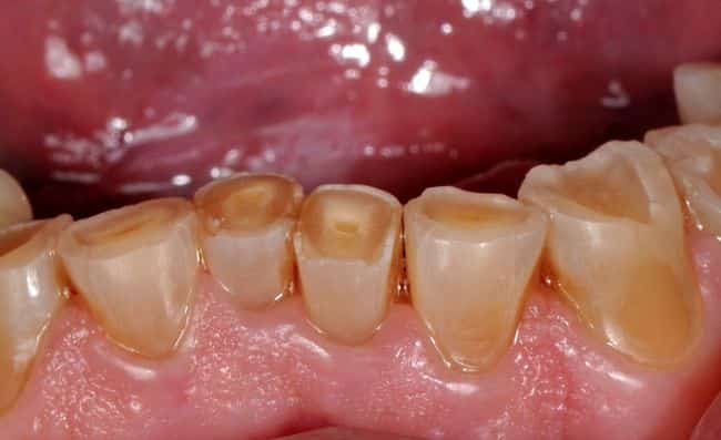
Específicamente sobre el desgaste no hay reportes oficiales todavía, pero los odontólogos reportan que es “frecuente” encontrar casos de desgaste de moderado a severo, situación que ellos estiman que serán una tendencia creciente en los próximos años, dado el aumento en la edad promedio de la población en general.

Fuente: sinart.go.cr