MEDICINA BUCAL : Qué son los torus? Tipos de torus


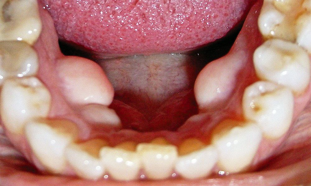
Puede que algún día hayas oído hablar de Torus. Los torus salen en el maxilar inferior y en la mandíbula.

Son unas protuberancias que en el caso del maxilar superior suelen salir en la linea centrales del paladar.

En el caso de la mandíbula están por dentro, es decir por la parte lingual.

Estos nódulos son bastante molestos una vez se han desarrollado, no tienen mucha importancia a nivel clínico y el proceso de crecimiento es bastante lento, puede ser que los tengas y no te des cuenta.

En una de tus visitas rutinarias a tu consulta odontológica el especialista te los diagnosticará si los tienes.
Leer también: MEDICINA BUCAL : Preguntas y respuestas sobre la Lengua Geográfica



Fuente: Youtube / ATuSaludTve