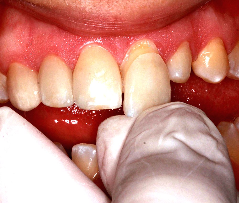
Las carillas de porcelana se pueden definir como una lámina relativamente fina de cerámica que se adhiere a la superficie vestibular de los dientes anteriores mediante resina compuesta y cuya única finalidad es la estética.
Hoy en día se considera una de las técnicas de reconstrucción indirecta con resultados más favorables, tanto por su duración como por su aspecto estético.
![]() |
Dentro de las indicaciones podemos considerar las siguientes, cada una de ellas ilustrada con uno o más casos clínicos.
Diastemas : Los diastemas, y en particular el diastema medio interincisivo, son uno de los hallazgos más frecuentes en la práctica odontoestomatológica y pueden ser debidos a diversas causas: maloclusión, discrepancias en el tamaño dental o enfermedad periodontal.
La incidencia de los diastemas varía enormemente con la edad y con la raza. Taylor describió, en 1939, que en los niños de hasta cinco años existía una incidencia de 97%, cifra que disminuía a medida que los pacientes crecían.
°Carillas de porcelana como solución estética en dientes anteriores: informe de doce casos
°Rábago-Vega, José / Tello-Rodríguez, Ana Isabel

Disqus comments